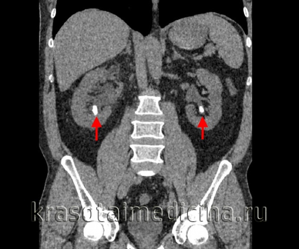
КТ ОБП и забрюшинного пространства. Плотные конкременты в нижних чашечках с обеих сторон. (фото Вишняков В.Н.)
При подозрении на нефролитиаз мужчина должен посетить уролога. Чтобы диагностировать болезнь, проводится комплексное обследование. Сначала врач осматривает пациента, собирает анамнез. Потом назначает сдачу общего анализа крови и мочи. Дополнительно проводится посев мочи на определение инфекции и чувствительность микрофлоры к антибиотикам.
Инструментальная диагностика включает:
- УЗИ почек и мочеточников;
- Урография;
- МРТ;
- Нефросцинтиграфия.
Для определения расположения и размера камня, а также особенностей состояния здоровья пациентки, уролог назначает выполнение лабораторной диагностики и УЗИ. Основные виды исследования – биохимический и клинический анализ крови. Специалисту важно понять, насколько высок уровень креатенина и мочевины;
соответствует ли показатель сахара норме, изменился ли гемоглобин и концентрация лейкоцитов. Лабораторному изучению подвергается образец мочи: в нем определяют лейкоцитоз, бактерии, сахар, эритроциты. На УЗИ врач визуализирует состояние почек и локализацию камня – это может быть не только лоханка, но и мочеточник или мочевой пузырь.
Выход камней из почек представляет огромную опасность для жизни человека. Именно поэтому нужно обращаться к врачебной помощи на самой ранней стадии заболевания, когда вылечить его можно быстро и практически безболезненно. Камни в почках лечение предполагают специфическое, форма которого зависит от размера и свойств кристаллических образований.
Предварительный диагноз пациенту ставится во время первичного визита в поликлинику. На основе опроса и внешнего осмотра больного врач делает вывод о причине заболевания и времени его течения. Описание симптомов помогает получить примерную клиническую картину недуга. Независимо от причины образования камней в почках, окончательное решение как лечить камни в почках принимается только после проведения комплексной диагностики.
Пациенту назначаются такие виды обследования:
- Консультации у профильных специалистов. Это дает возможность выявить недуги, которые стали прямыми или косвенными предпосылками развития мочекаменной болезни.
- Проведение анализов мочи и кала, в результате чего определяется наличие инфекции и воспаления.
- Рентгенография. По результатам этой процедуры специалист может точно сказать, где находятся и как выходят камни из почек. Для полноты картины могут делаться 2 снимка — в положении лежа на спине и на боку.
- Экскреторная урография. Этот вид сканирования позволяет получить информацию о наличии, местоположении, форме и размере всех камней, независимо от природы их происхождения. Кроме того, врач получает данные относительно состояния и степени изменения почек и мочевых путей.
Диета при камнях в почках
При диагностировании у пациента оксалатов, назначают лечение медикаментозными средствами, вместе с придерживанием определенного вида диета, которая включает в себя:
- ограничение продуктов питания, которые в большом количестве содержат в себе щавелевую кислоту — шпинат, картофель, апельсины, молоко. В рацион питания нужно включать больше яблок, груш, различных видов винограда, курагу.
При наличии фосфатных камней, рекомендовано употребление пищи, для подкисления урины:
- выпивание значительного количества соков — клюквенного и брусничного. А также придерживание мясной диеты, для того чтобы в организм человека попадало как можно больше белка животного происхождения. Исключить необходимо все виды зелени, а также множество зеленых овощей, молоко и его производные.
В случае образования уратов — необходимо избегать различного рода мясных изделий, шоколада и лимонов. Свой рацион неплохо обогатить фруктовыми и овощными соками.
При любом виде нефролитиаза, необходимо соблюдать особый режим питься. В сутки необходимо выпивать до 2.5 литров жидкости, в том числе и простой минеральной не газированной воды.
Придерживаться диеты при камнях в почках — основной момент комплексного лечения. Рацион питания зависит от типа конкремента:
- При уратах употребляют диетическое мясо, отварную рыбу, исключается из рациона кислые ягоды и фрукты, шоколад, соль, кофе, бобовые. Упор делается на молочные и растительные продукты.
- При борьбе с оксалатами следует ограничить употребление продуктов, содержащих аскорбиновую кислоту. Упор делают на растительное и сливочное масло, жирный творог, сало, яблоки
- При риске образования фосфатов исключаются молокосодержащие и растительные продукты, специи. Рацион питания обязательно состоит из нежирного мяса, мучных изделий.
Нередко причины появления конкрементов в почках кроются в неправильном питании. Диета поможет решить проблему и навсегда забыть о мочекаменной болезни.
Лечение стоит начать с употребления жидкости. Диета подразумевает под собой обильное питье, потому что это способствует выведению конкрементов из почек. Женщина пьет много воды и в результате камни выходят быстрее. Но лечить МКБ лишь таким способом не стоит.
Что делать дальше? Необходимо сдать конкременты на анализ поскольку лечение невозможно проводить, если нет информации о том из чего состоит камень.
Диета при мочекаменной болезни основные признаки:
- Причины образования фосфатных конкрементов – это соли кальция. Для того чтобы избавиться от проблемы стоит исключить из рациона молоко и другие кисломолочные продукты, а также свежие фрукты. Упор делать на рыбу, бобы и злаки.
- Диета поможет в лечение уретных камней. В процессе их образования участвуют белки. Если полностью отказаться от мяса не получается, то стоит ограничить его потребление, для скорейшего решения проблемы.
- Диета носит и общие рекомендации. Стоит отказаться от пищи, которая способствует задержке воды в организме и увеличивает нагрузку на почки. Лечение строится на полном отказе от соленой, пряной, копченой и жирной пищи.
Диета подбирается врачом, она основана на проведенных лабораторных исследованиях. В таком случае лечить патологию проще. Но не стоит забывать и о профилактике. Если у женщины хотя бы раз в жизни выходил камень, ей рекомендуется регулярно посещать врача-уролога и делать УЗИ почек.
Причины возникновения конкрементов могут быть различными, но не стоит забывать о том, что своевременное лечение поможет не только избавиться от боли. Но и предотвратить процесс образования новых камней.
Если у женщины диагностировали камни в почках, то ей стоит незамедлительно обратиться к врачу, он подберет лечение и поможет избежать осложнений. Ведь наличие конкрементов способно привести к развитию воспалительного заболевания почек или стать причиной других осложнений.
Одно из наиболее распространённых почечных заболеваний является почечнокаменная болезнь. Что же это за патология? Как попадают камни в мочевыделительную систему? А может они там образуются из-за ряда причин. Как лечат заболевание? Можно ли справиться самостоятельно или необходимо вмешательство специалистов? Всё о камнях в почках можно узнать из статьи.
Если у вас диагностировали оксалатные камни в почках, то лечение следует сочетать с определенной диетой.
- В первую очередь потребуется ограничение употребления продуктов, богатых щавелевой кислотой: шпинат, щавель, картофель, салат, апельсины и молоко. В рацион необходимо включать яблоки, груши, виноград, курагу, а так же блюда с повышенным содержанием магния, который связывает соли щавелевой кислоты.
Диета при обнаружении фосфатных камней должна быть направлена на подкисление мочи.
- Для этого полезно пить больше клюквенного или брусничного сока. Лечению образований в почках данной разновидности способствует мясная диета, поступление в организм в достаточных количествах рыбного и мясного белка. Это должно стать основой питания. Зелень, овощи, молоко и кисломолочные продукты нужно исключить.
Что же касается уратных камней, то здесь рацион не должен содержать мяса и других мясных продуктов, шоколада, лимонов и некоторых других продуктов. Диета должна включать в себя свежие фруктовые и овощные соки. Хороший лечебный эффект дают дыни и арбузы. Большое значение в лечении почечнокаменной болезни имеет питьевой рацион. Нужно пить больше жидкости. Вода при этом не должна быть жесткой.
При всех видах камней в питании необходимо придерживаться следующих рекомендаций:
- Увеличить объем принимаемой жидкости до 2,5 литров в сутки;
- При необходимости принимать мочегонные настои трав;
- Не переедать, в питании избегать жирной, жареной, копченой пищи и избытка соли.
Также существует ряд рецептов народных способов, которые можно использовать для выведения небольших по размеру камней любого вида, а также песка.
Конкременты в почках во время беременности
Часто почечное новообразование выявляется у женщин при беременности и многие задаются вопросом, что с этим делать. У женщин в положении камни могут образоваться из-за неправильного питания, отсутствия физической деятельности. При появлении у беременной тянущих поясничных болей и нижней части спины необходимо срочно обратиться к доктору, пациентке должна быть оказана первая помощь без применения сильнодействующих анальгетиков.
К основным симптомам присутствия мочекаменной болезни относятся:
- острые или колющие боли в пояснице или боку, боль в области почки (почечная колика);
- иррадиационная боль в почке, отдающая в соседние органы;
- болевые ощущения внизу живота;
- приступы тошноты и рвоты;
- нарушение мочеиспускания (задержка или учащенное);
- частые позывы к мочеиспусканию;
- боль и жжение во время мочеиспускания;
- отхождение песка или камешков;
- повышение температуры тела;
- холодный пот;
- вздутие кишечника;
- повышение давления.
Основным симптомом мочекаменной болезни является почечная колика. Она возникает при обструкции мочеточника камнем и характеризуется внезапной схваткообразной болью. Болевой синдром вызван усиленной перистальтикой и спазмом мочевыводящих путей. Боль бывает настолько сильной, что больной человек не может найти удобного положения, ходит из угла в угол.
Болевой синдром может развиваться с различной частотой: от нескольких раз в месяц до 1 раза в течение нескольких лет. Обычно колика длится около 1-2 часов, но иногда может продолжаться до суток и более с небольшими перерывами. Нередко после стихания боли с мочой отделяются так называемый песок или небольшие камни.
- Тупые боли в пояснице. В большинстве случаев они носят постоянный характер и могут возрастать при движении тела и физических нагрузках. Это один из основных симптомов нефролитиаза. Когда камни попадают в мочеточник, боль может чувствоваться в половом органе и паху.
- Болевое мочеиспускание. Это означает, что конкременты находятся уже в мочевых путях или мочевом пузыре.
- Почечная колика. Она проявляется в области поясницы и может иметь периодический характер.
- Наличие крови в моче. Может наблюдаться сразу же после болевого приступа или при сильных физических нагрузках.
- Увеличение температуры тела до 39° C.
- Помутнение мочи.
- Отеки конечностей.
- Высокое давление.
В зависимости от своего размера, количества и состава камни в почках могут давать симптоматику различной выраженности. Типичная клиника включает боли в пояснице, развитие почечной колики, гематурию, пиурию, иногда – самостоятельное отхождение камня из почки с мочой. Боли в пояснице развиваются вследствие нарушения оттока мочи, могут быть ноющими, тупыми, а при резко возникшем уростазе, при закупорке камнем лоханки почки или мочеточника, прогрессировать до почечной колики. Коралловидные камни обычно сопровождаются нерезкой тупой болью, а мелкие и плотные дают резкую приступообразную боль.
Типичный приступ почечной колики сопровождается внезапными острыми болями в поясничной области, распространяющимися по ходу мочеточника в промежность и половые органы. Рефлекторно на фоне почечной колики возникают учащенные болезненные мочеиспускания, тошнота и рвота, метеоризм. Пациент возбужден, беспокоен, не может найти себе позы, облегчающей состояние. Болевой приступ при почечной колике настолько выражен, что зачастую купируется только введением наркотических препаратов. При обструкции камнями обоих мочеточников развивается постренальная анурия, лихорадка.
По окончании приступа камни из почек нередко отходят с мочой, возможна постболевая гематурия. Интенсивность гематурии может быть различной – от незначительной эритроцитурии до выраженной макрогематурии. Выделение гноя с мочой (пиурия) развивается при воспалении в почках и мочевых путях. Наличие камней в почках симптоматически не проявляет себя у 13-15% пациентов.
- Если камни мелкие в диаметре (до 5 мм), это считается песком. При выходе их почек и попадании в мочевой пузырь, а затем и в мочу у женщины может возникать легкое жжение при мочеиспускании. Чаще всего женщина даже не обращает внимания на такой симптом.
- Если камень имеет больший размер и неправильную геометрическую форму (наличие шипов, кораллов, острых углов), то при его движении возникает резкая почечная колика. В таком состоянии женщина может не находить себе места, пытаясь унять боль. Часто почечную колику сопровождает повышение температуры до 38-39 градусов, жар, холодный пот, чувство паники, возможна рвота. Боль в этом случае может быть опоясывающей, резкой, отдавать в бок и/или в половые губы.
- После почечной колики у женщины может обнаружиться помутнение мочи, примеси слизи, гноя и крови в ней. Если подобные симптомы периодически беспокоят пациентку, то нужно безотлагательно обращаться к урологу и гинекологу.


