Гиперплазия эндометрия – разрастание и утолщение стенок слоя эндометрия, который является доброкачественным и возникает по причине усиленного деления клеток соединительной ткани. Обычно причина такого явления кроется в нарушении гормонального фона, связанного с чрезмерным синтезом гормона первой фазы менструального – эстрогена. Именно эстрадиол запускает пролиферативную фазу, которая характеризуется утолщением стенок слизистой оболочки, активным развитием фолликулярного аппарата в яичниках.При чрезмерном синтезе эстрадиола нарушается баланс между гормонами первой и второй фазы менструального цикла, прогестерона не хватает, вследствие чего и развивается гиперплазия эндометрия, потому что слой матки дальше разрастается, и не может перейти в секреторную фазу, так как большое количество эстрадиола подавляет синтез прогестерона. При неблагоприятном гормональном фоне в сторону эстрогена врачи назначают принимать препараты прогестерона. Одним из самых эффективных средств является дюфастон, так как при регулярном приеме данный препарат восполняет недостающий гормон второй фазы, вследствие чего можно эффективно лечить возникшую гиперплазию.
Факторы риска
Спровоцировать заболевание могут:
- гормональная дисфункция и иммунодефицит;
- опухоли яичников;
- инфекционные заболевания;
- гипертоническая болезнь;
- генетическая предрасположенность;
- патологии органов центральной нервной системы;
- лишний вес;
- сахарный диабет;
- заболевания молочных желез;
- дисфункции поджелудочной и щитовидной желез;
- частые выскабливания и аборты;
- продолжительное применение гормональных средств.
Народные средства
Целители не оставили без внимания эту проблему, предложив несколько рецептов, помогающих предупредить рост гиперплазии. Травы помогают лечить патологию, хотя и не заменяют лекарственную терапию. Врачи скептически относятся к такой методике, рекомендуя не полагаться на нее. Фитотерапия помогает лишь усилить эффективность медикаментозного лечения.
Как натуральными средствами избавиться от гиперплазии эндометрия, рассказано в видео:
Курс фитотерапии и его особенности
Хотя грамотно скомпонованные травяные сборы позволяют несколько сократить срок использования гормонального лечения, не допустить рецидива гиперплазии, предотвратить диагностические выскабливания и некоторые побочные эффекты гормонотерапии. Рекомендовано 2 варианта использования трав:
- Народное лечение назначается в качестве сопроводительного мероприятия при гормональной терапии после маточного выскабливания.
- После маточного выскабливания и обнаружения железистой формы гиперплазии эндометрия допускается по результатам гистологического исследования фитотерапия, регулирующая гормональный фон.
Эффективные рецепты
Спиртовая настойка с крапивой. Ее применение благоприятно воздействует на состояние маточного эндометрия, восстанавливает гормональный фон. Причиной становятся фитогормоны, содержащиеся в растении. Чтобы приготовить целебную настойку, измельчите пучок крапивы, залейте ее спиртом и настаивайте неделю в темноте. Затем следует пить после утренней и вечерней трапезы по 1 ч. л. этого снадобья.
Симптомы и клиническая картина при гиперплазии эндометрия
Основные признаки гиперплазии эндометрия: появление между менструальными циклами кровяных выделений, обильность и интенсивность которых постепенно возрастает, возникновение анемии, слабости и головокружения вследствие кровопотери. Также среди симптомов гиперплазии эндометрия:
- задержка менструального цикла до 3-х месяцев;
- болезненные и обильные месячные;
- увеличение веса и количества волос на теле;
- кровяные выделения во время менструального цикла и после интимной близости.
Способы лечения заболевания
Данное заболевание может возникнуть в любом возрасте, но чаще всего нему подвержены женщины репродуктивного возраста от 18 до 35 лет. Основные причины, провоцирующие гиперплазию эндометрия:
- Гормональный сбой, связанный с нехваткой гестагена в организме
- Любые другие эндокринные нарушения
- Ожирение и сахарный диабет
- Ранее проводившиеся хирургические вмешательства на половых органах женщины.
Болезнь начинает себя проявлять из различных расстройств, связанных с менструальным циклом. Сначала возникают обильные кровотечения в период месячных, которые длятся долго. Кровь может выходить со сгустками. Со временем такие частые кровопотери начинают вызывать слабость в теле, головокружения и железодефицитную анемию, так как большие кровопотери вымывают из организма данный микроэлемент. При наличии такой патологии невозможно забеременеть и выносить плод.
Терапия данного заболевания направлена в первую очередь на:
- Угнетение патологического процесса
- Излечивание текущего заболевания
- Устранение болевых ощущений и выравнивание менструального цикла
- Профилактика злокачественных новообразований.
Чаще всего врачи назначают принимать из методов консервативной медицины гормональные средства. К ним можно отнести комбинированные оральные контрацептивы, синтетические экзогенные гестагены, антиэстрогены и гонадотропины. Примеры торговых названий комбинированных оральных контрацептивов: регулон, жанин, ярина, логест, три-регол, ригевидон, фемоден. Примеры торговых названий синтетических экзогенных гестагенов: дюфастон, норколут, депо-провера, также могут вводить препараты природного прогестерона – утрожестан и прогестерон в инъекционной форме. Примеры торговых названий гонадотропных гормонов: золадекс, гозерелин, бусерелин-депо. Средства, проявляющие антиэстрогенные свойства: гестринон, даназол, тамоксифен.
В первую очередь следует рассмотреть лечение дюфастоном, так как это современный гестагенный препарат, который приносит хорошие результаты с наименьшим числом возможных побочных эффектов. Активный действующий компонент в составе – дидрогестерон, не проявляет выраженных метаболических свойств, не вызывает в большинстве случаев головные боли, сильную тяжесть в груди, не подавляет овуляцию, не обладает контрацептивным эффектом, также меньше всего влияет на колебание веса. Ценным эффектом является и то, что медикамент не влияет на показания свертываемости крови, не способствует образованию тромбов, поэтому его можно спокойно назначать женщинам, склонным к варикозному расширению вен.
Диагностика гиперплазии эндометрия
Для диагностики гиперплазии эндометрия используются физикальные, инструментальные и лабораторные методы.
Методы диагностики
Проводятся следующие диагностические мероприятия:
- Осмотр у гинеколога.
- УЗИ (трансвагинальный датчик помогает оценить однородность и структуру эндометрия).
- Диагностические выскабливания полости матки (позволяют обнаружить миому матки, аденомиоз).
- Гистологическое исследование ткани эндометрия (позволяет определить вид гиперплазии).
- Гормональное исследование крови.
- Биопсия (выявляет, есть ли предрасположенность к развитию рака).
- Эхосальпингография (помогает выявить полипы, очаги гиперплазии, полипы, кисты).
- Рентгенологическое исследование молочных желез (помогает исключить пролиферативные изменения).
Как избавиться от гиперплазии
Обычно женщины убеждены, что решить проблему, не выполнив выскабливание (кюретаж терапию) практически невозможно. Действительно, иногда такая процедура входит в назначенный лечебный комплекс, хотя она не относится к единственному варианту торможения аномального роста маточной слизистой. Поскольку провоцируют патологию гормональные изменения, основа терапии – прием соответствующих лекарств.
Медикаменты сразу после постановки диагноза
Особенно популярно медикаментозное лечение в отношении нерожавших женщин. Благодаря употреблению лекарственных средств, в составе которых присутствуют женские гормоны, удается повлиять на главные причины развития патологии.
Схема лечения гиперплазии эндометрия
Существует 2 способа лечения патологии. Оперативное лечение гиперплазии эндометрия назначается в случаях сильной кровопотери, наличия полипов. Оно осуществляется с помощью операций по удалению полипов и гиперплазированного эндометрия из матки, удалению матки, маточных труб, яичников, эндометрия.
Как лечить гиперплазию эндометрия консервативным путем?
Это делается с помощью физиотерапевтических методов, иглорефлексотерапии, медикаментозного лечения. Курсом 3-6 месяцев назначаются: оральные препараты (Ярина, Жанин, Регулон), гестагены (Дюфастон и Утрожестан), гормоны (Золадекс и Бусерелин), витамины и успокоительные препараты (пустырник, валериана). При анемии — препараты, содержащие железо (Ферлатум и Сорбифер).
Третий этап в терапии женщины
Третий этап лечения эндометриоза направлен на восстановление нормальной овуляции, наличие которой означает, что менструальный цикл пришел в норму, а репродуктивная функция снова налажена. Без овуляции наступление беременности становится невозможным. Как раз дюфастон и обеспечивает нормальное восстановление месячного цикла. Он обеспечивает стойкое падение эстрадиола до нормальных значений, когда показатели гормона прогестерона увеличиваются. При достижении оптимального гормонального баланса между этими двумя гормонами обеспечивается адекватный месячный цикл.
После восстановления месячного цикла женщина в обязательном порядке должна приходить на обследования у гинеколога с целью проверки состояния половых органов женщины. Проверка проходит в основном с помощью УЗИ осмотра, где гинеколог отмечает, не начался ли гормональный сбой снова, и не начинает ли слизистая оболочка разрастаться. Врач в обязательном порядке замеряет каждый раз толщину эндометрия.
Профилактика заболеваний эндометрия
Соблюдение этих условий особенно важно после завершения курса лечения гиперплазии с целью недопущения рецидивов заболевания:
- своевременное и полное вылечивание гинекологических и урологических заболеваний, в частности воспалительных процессов инфекционной этиологии;
- регулярные достаточные физические нагрузки, активный образ жизни, подвижность, недопущение застоя крови в малом тазу;
- здоровая диета с минимумом жирной, острой пищи, кофеина и пр.;
- регулярные визиты к гинекологу;
- тщательная личная гигиена и гигиена секса;
- рациональная контрацепция, прием гормональных препаратов строго по схеме;
- своевременное лечение заболеваний эндокринной системы;
- исключение абортов.
Женщина должна регулярно посещать гинеколога и эндокринолога, контролировать состояние эндометрия. Любое заболевание женской половой системы требует скорейшего обращения женщины к специалисту-гинекологу. Своевременное, научно обоснованное лечение способствует скорейшему выздоровлению, позволяет сохранить возможность деторождения, улучшает состояние женщины.
Правильное лечение железистой гиперплазии эндометрияЛечение Дюфастоном при полипе эндометрия. Особенности и показания к применениюОсобенности лечения и профилактики гиперплазии эндометрияПричины возникновения гиперплазии эндометрия, виды диагностики и лечения
Железистая гиперплазия эпителия матки
Весь менструальный цикл контролируется гуморальной системой регуляции посредством выработки гормонов. Овуляция зрелой яйцеклетки является ключевым моментом месячного цикла и точкой начала его второй фазы. Если яйцеклетка из фолликула не выходит, синтез гестагенов не происходит, и фолликул продолжает развиваться и производить эстрогены. Клетки продолжают расти, но не созревают.
Последующий рост клеток эндометрия является патологическим. Изменяется его направление. При невозможности вырасти в стенки или полость матки клетки растут внутрь себя самих, их структура аномально изменяется. Патологический эндометрий разрастается и утолщается, диагностируются его гиперпластические аномалии.
Развитие патологии
Клетки гиперплазированного эндометрия растут до возможного максимума. Когда все резервы роста исчерпаны, патологическая ткань отторгается. Процесс сопровождается кровотечением, которое не имеет никакого отношения к менструальному. В гинекологии этот симптом называется ациклическим маточным кровотечением. При этом возможно его наступление в положенное для менструации время, в связи с чем патологию можно спутать с обычными месячными.
Характер кровотечения изменяется, крови может быть больше (или меньше), в ней присутствуют сгустки, кусочки несозревшего эндометрия. Несмотря на то, что аномальные клетки покидают матку, патологическая железистая гиперплазия на этом не заканчивается. Не происходит полного отторжения и отслоения функционального эндометриального слоя от базальной маточной мембраны. Оставшиеся клетки продолжают свой рост.
Роль эндометрия в менструальном цикле
Эндометрий – снабженная сосудами оболочка, выстилающая внутреннюю полость матки. В его составе покровные и железистые эпителиальные клетки на соединительно-тканной основе (строме).
В течение цикла цилиндрическая эндометриальная выстилка матки претерпевает значительные изменения под влиянием гуморальных регуляторных процессов. Это происходит у девочек с момента начала полового созревания в 12-14 лет и зрелых женщин, вплоть до наступления менопаузы в 45-50 лет.
- В первую половину цикла женский организм активно вырабатывает эстрогены, готовясь к потенциальной беременности. В овариальных фолликулах активизируется, развивается и созревает яйцеклетка, которая в момент овуляции должна покинуть яичник и направиться в маточную трубу на встречу со сперматозоидом. Оплодотворенную клетку нужно будет с удобством разместить в матке, для этого активно наращивается дополнительный слой эндометрия.
- После выхода половой клетки лопнувший фолликул превращается во временную железу внутренней секреции — желтое тело, синтезирующее гестагены. Под их действием прекращается активный рост клеток и завершается созревание.
- Если оплодотворения яйцеклетки и зачатия не произошло, менструальный цикл заканчивается, чтобы организм мог предпринять следующую попытку. Желтое тело рассасывается. В это время отторгается дополнительный слой эндометрия, который должен был принять зародыша. Этот процесс сопровождается физиологическим кровотечением (менструацией), так как разрываются сосуды, осуществлявшие питание слоя.
Отзывы врачей и пациентов
Нина Петровна, гинеколог: Я часто назначаю эти таблетки пациенткам, зная об их высокой эффективности. Дюфастон позволяет добиться гарантированного выздоровления.
Ольга, 23 года, Тверь
Нарушения месячных заставило меня поспешить к гинекологу. Диагностировали ГПЭ. Поскольку показатели гормонов практически не изменились, врач назначила Дюфастон, рекомендуя принимать его по схеме. Спустя 3 месяца процедура УЗИ подтвердила уменьшение толщины слизистой, теперь жду, когда эндометрий полностью восстановится.
Наталья, 26 лет, Воронеж
Вторые роды, лактация, задержка месячных, затем прорыв – слишком обильная менструация. Посетила гинеколога для обследования. Подтвердилось подозрение на значительную гиперплазию эндометрия. Врач назначила принимать такое средство, как Дюфастон по индивидуальной схеме. Сейчас наблюдаюсь, прошло практически 4 месяца, еще эндометрий не восстановился, часто показывает превышение слоя, хотя немного наладились месячные, задержки практически отсутствуют, кровопотеря незначительная.
Как принимать правильно Дюфастон
Терапия гиперплазии слоя эндометрия организуется индивидуально. Ее рекомендует гинеколог, выполнив предварительно диагностическое выскабливание слизистой, а затем проведя гистологическое исследование добытых образцов.
В репродуктивном возрасте
Молодым женщинам рекомендуют принимать Дюфастон всего по таблетке либо двум ежедневно. Схемы приема такие:
- начиная с шестнадцатого и заканчивая двадцать пятым днем очередного менструального цикла,
- начиная с пятого и заканчивая двадцать пятым днем очередного менструального цикла.
Подобные схемы прима полностью сохраняют менструальную функцию. Терапия Дюфастоном разрешена и при беременности. А вот кормящим мамам лекарство пить гинекологи не рекомендуют.
В климаксе
При наступлении климакса терапия патологии эндометрия заключается в употреблении 2–3 таблеток ежедневно. При возрастной перестройка начинает угасать природная детородная функция. Концентрация эстрогенов значительно уменьшается, из-за чего процесс овуляции прекращается, яйцеклетка перестает покидать фолликул.
Применение Дюфастона при тонком эндометрии
С целью нарастить эндометрий гинекологи рекомендуют употреблять Дюфастон 2–3 раза в промежутке 5–25 дней цикла месячных ежедневно всего по таблетке.
Показания и противопоказания к применению
Инструкция по применению Дюфастона точно описывает, в каких случаях нужен Дюфастон. Обычно это гормональные сбои у женщины. Перечислим, когда следует пить Дюфастон:
- при эндометриозе (проблемах с эндометрием, включая гиперплазию);
- для лечения бесплодия, спровоцированного нехваткой лютеинов;
- при привычных выкидышах или при угрозе выкидыша, если причина в прогестероновой недостаточности у матери;
- если женщина страдает нарушениями менструального цикла — дисменореей;
- при возникновении вторичной аменореи — комплексно с эстрогеновыми средстами;
- у больных с маточными кровотечениями дисфункционального характера.
Однако есть пациентки, для которых нежелателен приём данного препарата. Им он может навредить. Это больные с:
- печёночными заболеваниями;
- аллергией на действующее или вспомогательные вещества, склонностью к кожному зуду;
- ожирением.
Что нужно знать перед приемом препарата?
Сам препарат положительно сказывается на здоровье человека, но его нужно правильно принимать. Сделать это возможно только с учетом следующих факторов:
- сколько лет уже длится климактерический период;
- полная картина гормонального фона (сдача анализов);
- наличие/отсутствие заболеваний половой системы;
- есть ли месячные;
- какой характер имеют выделения;
- наличие симптомов менопаузы и их характер.
Только на фоне этих данных врач может определить целесообразность назначение гормонального препарата, продолжительность лечения и дозировку.
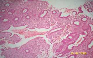
Разновидности эндометриальной гиперплазии
Исходя из гистологических особенностей патологических клеток, выделяют несколько разновидностей гиперпластической патологии эндометрия:
- железистая;
- железисто-кистозная;
- очаговая (полипы матки);
- атипическая (аденоматоз).
Для железистой патологии свойственно исчезновение разделения базального (основа) и функционального эндометриальных слоев, увеличение количества секреторных органов и их неравномерное расположение, четкая граница между мышечным слоем матки (миометрием) и аномальным эндометрием. Вся энергия роста направлена на развитие желез, которые становятся извилистыми и сливаются друг с другом.
Железисто-кистозная форма представляет собой дальнейшее прогрессирование заболевания и сопровождается кистозным перерождением части желез. Обычно это связано с закупоркой выводного протока и накоплением секрета в капсуле железы, с формированием небольшого кистозного пузыря, жидкость внутри которого содержит избыток эстрогенов. Кисты имеют микроскопические размеры и расположены внутри функционального слоя эндометрия в виде грозди. Если несколько кистозных полостей сливаются, возможно их обнаружение в ходе ультразвукового исследования.
Очаговая или локальная гиперплазия — разрастание эпителия матки и подлежащих тканей с образованием железистых, фиброзных или фиброзно-железистых полипов. Атипичная гиперплазия (аденоматоз) характеризуется наиболее интенсивной пролиферацией и структурной перестройкой клеток, уменьшением доли соединительно-тканных элементов, полиморфизмом клеточных ядер. Две последние формы (аденоматоз и маточные полипы) имеют высокую онкологическую потенцию и рассматриваются в гинекологии как предраковое состояние. Аденоматоз перерождается в злокачественное образование примерно в 1 случае из 10-ти. Кроме того, угрозу онкологии представляет неадекватное гормональное лечение и процедура выскабливания эндометрия при его гиперплазии.
Некоторые участки эндометрия и в норме имеют большую толщину по сравнению с другими, именно там начинается развитие гиперпластических процессов. Клетки эндометрия в этих областях подвергаются значительным изменениям. Так развивается очаговая и смешанная формы заболевания.
Аналоги
Абсолютные аналоги Дюфастона – Дуфастон и Дидрогестерон. Эти лекарства лишь названием разняться с оригиналом, поскольку содержат тот же активный ингредиент. Их действие, а также показания с противопоказаниями совершенно идентичны.
Регулон при терапии гиперплазии эндометрия
Рекомендуют Регулон для угнетении производства гонадотропинов. Благодаря этому овуляция становится невозможной, плотность маточной цервикальной слизи увеличивается, меняются процессы внутри эндометрия, что препятствует проникновению внутрь маточной полости сперматозоидов.
Состав и формы выпуска
Это лекарство выпускают в таблетированной форме для перорального употребления. Препарат изготовлен на базе активного ингредиента – дидрогестерона. Еще в нем присутствуют дополнительные компоненты:
- моногидрат лактозы,
- крахмал из кукурузы,
- коллоидная взвесь диоксида кремния,
- магния стеарат,
- диоксид титана и полиэтиленгликоль.
Блистер содержит 20 таблеток. Каждая упаковка средства содержит подробную инструкцию, касающуюся правил использования медикамента.
Что представляет из себя Дюфастон
Дюфастон — это гестаген. Его состав близок к натуральному женскому прогестерону. Действующее вещество лекарства называется дигидрогестерон. Средство избирательно влияет на поражённый эндометрий. Это существенно снижает вероятность нежелательных последствий лечения.
Дюфастон оказывает минимальное влияние на сердце и сосуды пациентки. Не обладает эстрогенным эффектом. Не приводит к появлению прыщей (акне), патологическому оволосению (гирсутизму) и некоторым другим проблемам.
Не воздействует на нервную систему, а также на состав крови. Поэтому Дюфастон можно назначать большинству женщин, страдающих гиперплазией эндометрия.
